top of page

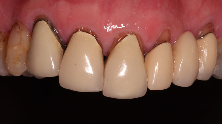
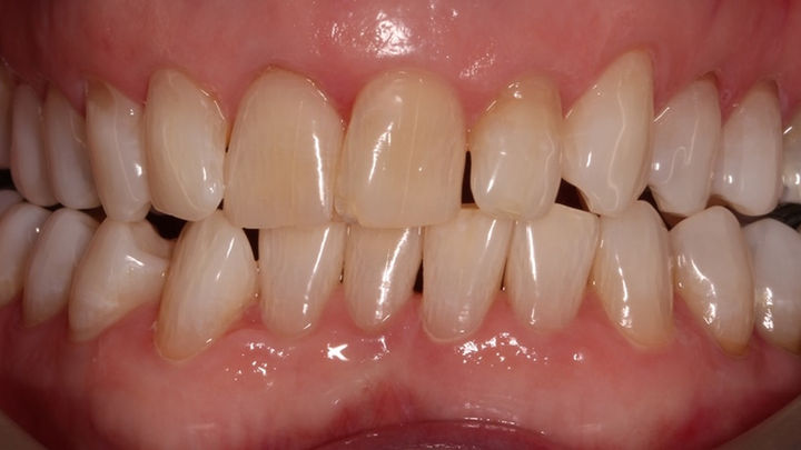
Our Results
Welcome To Our transformation Gallery
Where real results speak louder than words. Here you'll find a few inspiring before and after photos that showcase the power of dedication, expertise and proven methods.

Why we're the right choice for your smile
The team at Hacton Dental Care are proud to offer a full range of general and advanced dental treatments, while taking into account each patient’s health and lifestyle choices. With a range of specialist treatments all under one roof, we minimise your discomfort and give you peace of mind.
Passion & Skill
Expert care delivered.
Safe & Secure
All about your comfort.
Fast & Quick
Prompt care, no delays.
Trusted & Reviewed
Loved by our patients.
0% Payment Plans
Spread the cost easily.
bottom of page
























